etlivmedsundhed.dk
Menu
  • Annoncering
  • Annoncering
  • Om os
  • Om os
  • Cookies
  • Cookies
  • Kontakt os
  • Kontakt os

Kiropraktor værløse sådan finder du den rette behandling tæt på dig

Mange i Værløse oplever smerter i ryg, nakke eller skuldre i hverdagen. Nogle har tilbagevendende hovedpine, andre døjer med lændesmerter efter kontorarbejde eller sport. Når smerterne begynder at begrænse din hverdag, kan en kiropraktor være en vigtig del af løsningen. Men hvordan vælger du den rigtige behandling, og hvad kan du forvente, når du s...

Albert Pilgaard 03. apr

Kiropraktik københavn sådan vælger du den rette behandling

Kroniske smerter i nakke, ryg eller skuldre kan hurtigt komme til at fylde hele hverdagen. Mange i hovedstadsområdet søger derfor mod kiropraktik københavn for at finde en løsning, der både lindrer smerterne og forebygger, at de vender tilbage. Men h...

Sofie Sørensen 08. mar

Kiropraktor espergærde sådan vælger du den rette behandling til dine smerter

Mange i Nordsjælland oplever ondt i ryg, nakke, skuldre eller hofter i løbet af hverdagen. For nogle går smerterne væk af sig selv, mens andre ender med langvarige gener, der påvirker både arbejde, fritid og søvn. Her kan en kiropraktor være en vigti...

Maria Hald 13. feb
01. dec

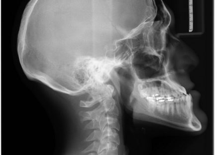
Røntgenundersøgelse: En vej til en sundere krop

Røntgenundersøgelser spiller en væsentlig rolle i moderne medicinsk diagnostik, og de hjælper læger med at identificere og behandle en bred vifte af helbredsproblemer. Denne artikel vil give en indsigt i, hvordan r&osl...

31. okt

Vaccination i Charlottenlund: Sundhed med et smil

Vaccinationer er en central del af vores sundhedsvæsen, der hjælper med at beskytte os mod alvorlige sygdomme. I Charlottenlund er der flere muligheder for at få dine vaccinationer. Charlottenlund Apotek tilbyder en bred vifte af va...

08. okt

Brug dagbøger og skitser til at udforske verden

At skrive eller tegne om verden er en måde at se den på ny. En dagbog eller en skitsebog kan blive dit vindue til nysgerrighed – en stille måde at observere, forstå og huske. Når du sætter ord eller streger p...

08. okt

Ideer til en hjemmelavet gallerivæg

En gallerivæg kan forvandle et helt rum. Den giver personlighed, varme og fortælling – og den behøver ikke koste en formue. Med lidt kreativitet kan du skabe din egen miniudstilling derhjemme, fyldt med minder, farver og udtr...

08. okt

Gode råd til at tilberede dine grøntsager så de smager fantastisk

Grøntsager er langt mere end bare tilbehør – de kan være hele stjernen p&a...

07. okt

Psykoterapi i Billund: sådan finder du den rette tæt på dig

Når livet knirker, kan samtaler med en trænet terapeut skabe klarhed og ro. Mange i Bill...

07. okt

Se hvordan hårfarver kan ændre dit udtryk

Hårfarve handler ikke kun om mode – det er en form for personlig udtryk og identitet. De...

07. okt

Byg selvtillid gennem små daglige udfordringer

Selvtillid er ikke noget, du enten har eller ikke har. Det er en færdighed, der kan bygges op ...

06. okt

Tips til at forvandle din have til et kreativt projekt

En have er meget mere end græs og planter. Den er et lærred – et sted, hvor du kan...

06. okt

Kunstige blomster kan skabe et naturligt udtryk

Kunstige blomster har fået et helt nyt liv. Hvor de engang blev forbundet med plastik og st&os...

08. okt

Gode råd til at tilberede dine grøntsager så de smager fantastisk

07. okt

Psykoterapi i Billund: sådan finder du den rette tæt på dig

07. okt

Se hvordan hårfarver kan ændre dit udtryk

07. okt

Byg selvtillid gennem små daglige udfordringer

06. okt

Tips til at forvandle din have til et kreativt projekt

06. okt

Kunstige blomster kan skabe et naturligt udtryk

02. sep

Find den rette optiker i Århus

01. sep

Tandlæge i Kalundborg: Kvalitet og omsorg for hele familien

31. aug

Den ultimative guide til massage i Århus

30. aug

Optiker i Sønderborg: Dit lokale synscenter

09. aug

Kvindecirkler: Opdag fællesskab og støtte blandt kvinder

06. aug

Genfind roen, når livet føles overvældende

1 2 3 … 34 Næste

Adresse

web: www.klikko.dk

Menu

  • Annoncering
  • Annoncering
  • Om os
  • Om os
  • Cookies
  • Cookies
  • Kontakt os
  • Kontakt os
  • Sitemap
  • Sitemap
På vores website bruges cookies til at huske dine indstillinger, statistik og personalisering af indhold og annoncer. Denne information deles med tredjepart. Ved fortsat brug af websiden godkender du cookiepolitikken.
Ok Privatlivspolitik